请输入关键字
确定
登录
注册
大众版
专业版
首页
关于我们
所院介绍
领导班子
发展历程
信息公开
医疗服务
科室中心
优质护理
专家团队
特色医疗
受试者招募
医院资源
就医指南
预约挂号
门诊指南
住院指南
急诊指南
日间手术中心
医保信息
互联网诊疗
出诊时间表
停诊信息
投诉建议
药事服务
交通路线
便民服务
公益救助
健康自测
院内导航
满意度调查
便民举措
查询服务
新闻中心
通知公告
所院新闻
媒体聚焦
专题活动
普法专栏
医学人文
健康管理
健康大讲堂
健康宣教
健康直播
世界健康日
首儿E课
宝宝知道
我爱BABY
儿研所儿医说
儿科云医说
健康图书
医学微视
首儿医典
豆豆宝宝育儿典
健康答疑
首页
新闻中心
所院新闻
所院新闻
关注哮喘健康,守护顺畅呼吸,首都儿童医学中心变态反应科开展世界哮喘日义诊科普讲座活动
为迎接2026年世界哮喘日,响应全球哮喘防治创议(GINA)提出的“让每位哮喘患者都能用上抗炎吸入器——仍是当务之急”主题,进一步提升公众对哮喘疾病的认知,普及科学防治知识,帮助哮喘患儿规范诊疗、改善生活质量,首都医科大学附属首都儿童医学中心变态反应科于4月28日在门诊大厅开展了主题义诊及线上健康科普讲座公益...
2026-04-30
首儿所研究生党支部开展“追寻红色足迹,赓续五四精神”主题党日活动
暮春四月,红楼映初心;青春向党,奋斗正当时。在“五四”青年节来临之际,2026年4月28日,首都儿科研究所研究生党支部14名学生党员到北大红楼开展“追寻红色足迹,赓续五四精神”主题党日活动。本次活动旨在通过沉浸式实地参观,引导研究生党员重温觉醒年代,感悟初心使命,将五四精神融入学术研究、专业成长及服务人民健康...
2026-04-30
巧用“心”与“术”,提升服务温度,“医社同行”项目开展医患沟通技巧专题培训
2026年4月23日,在中国志愿服务基金会“温馨社区计划”专项基金支持的“医社同行”项目支持下,首都医科大学附属首都儿童医学中心成功举办“医疗投诉纠纷工作中的‘心’‘术’”主题培训。本次培训聚焦医务社工、接诉即办专员在医患沟通中的纠纷化解技巧与心理压力疏导,旨在提升医务社工与医护人员提升沟通水平,构建更和谐的...
2026-04-29
首都儿童医学中心护理部举办“理论筑基护童安 实战转运促协同”危重症患儿院内转运培训演练...
2026年4月27日,首都医科大学附属首都儿童医学中心护理部护理专业管理委员会急危重症护理专业组,在儿保楼848会议室、急诊科、重症医学科开展急危重症患儿院内转运培训暨演练活动,活动以“理论筑基护童安 实战转运促协同”为主题,旨在进一步规范急危重症患儿院内转运全流程,强化转运团队理论功底与实战协同能力,有效防...
2026-04-29
首都儿童医学中心护理部开展护理信息安全规范化培训
为进一步强化护理人员信息安全意识,规范护理信息安全行为,筑牢儿童患者信息安全防线,2026年4月24日,首都医科大学附属首都儿童医学中心护理部信息管理委员会护理信息安全工作组,特邀医务处、信息中心联合举办“聚焦儿科特色 严守信息底线”护理信息安全规范化培训。护理信息管理委员会联络员、科室护士长、护理骨干等30...
2026-04-29
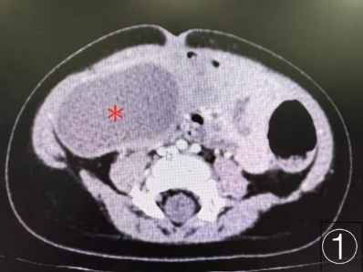
1.5厘米小孔的精准手术,首儿所胸部及肿瘤外科为8岁女孩卸下胰腺重担
8岁,本应是奔跑嬉闹、无忧无虑的年纪。可对于女孩小沐(化名)来说,过去一年多的时光,却被胰腺病灶蒙上阴霾,一家人四处辗转求医,只为给孩子寻求最稳妥的治疗方案。 一次意外外伤后的检查,开启了小沐的求医之路。在北京一家医院,小沐接受了腹部超声检查,查出胰腺体尾部有约2厘米占位性包块。胰腺位于腹腔深部...
2026-04-29
1
2
3
4
5
…
430
跳转
加载更多
也许您还想知道这些
预约挂号
出诊时间表
日间手术中心
互联网诊疗