请输入关键字
1岁患儿咳嗽背后藏凶险,首都儿童医学中心微创摘除11cm纵隔巨瘤
时间:2026-03-17 文:周燕、武玉睿 摄:曹振华

看似普通的咳嗽,或许暗藏致命危机。近日,首都医科大学附属首都儿童医学中心胸部及肿瘤外科,成功为一名1岁重症患儿摘除前纵隔11cm巨大肿物。这场关乎生命的“硬仗”,在武玉睿主任团队的精密协作下,以一场极致微创手术圆满落幕,让稚嫩的生命重获新生。

不久前,1岁的小陶咳嗽5天不见好转,身为护士的妈妈立即带她就医,检查发现孩子同时感染了呼吸道合胞病毒、腺病毒和肺炎链球菌。经过3天雾化、抗感染等保守治疗,症状毫无改善。随后的胸部CT检查,更是给出了令人揪心的结果:前纵隔及右侧胸腔存在一个最大径达11cm的巨大占位,几乎占满整个胸腔!三重感染叠加巨大纵隔肿物,病情错综复杂。焦急的家长多方打听后,将全部希望寄托于武玉睿主任。

from clipboard


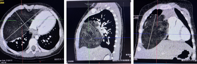
胸部增强CT提示前纵隔及右侧胸腔巨大占位,纵隔左偏,右肺受压

小陶入院后,仍在发烧,肺部炎症严重。“先控制感染,还是冒险手术?”成为团队面临的首要难题。“患儿安全永远是第一位的。”武玉睿迅速组织团队研讨,制定周密治疗方案。考虑到多重肺部感染的复杂性,团队没有急于手术,而是先开展积极的综合抗感染治疗。几天后,在医护人员的精心照料下,小陶的肺部感染逐渐得到控制。与此同时,完善的影像学及各项检查进一步明确,肿物高度考虑为脂肪源性肿瘤,因体积巨大、压迫症状明显,手术切除势在必行。

真正的考验就此开启。1岁患儿胸腔空间狭小,巨大肿瘤紧邻心脏、上腔静脉等重要大血管,手术风险极高。传统手术切口长、创伤大,术后恢复慢且易导致胸壁畸形;常规经侧胸部胸腔镜手术需3个小切口,却因肿瘤占据大部分胸腔,视野和操作严重受限,不仅风险高,肿瘤取出也十分困难。

凭借丰富的临床经验,武玉睿决定采用其在国内最早开展的剑突下入路手术,并通过改良实现单切口完成肿瘤切除。该入路具有独特优势,可“居高临下”掌控整个瘤体、直达病灶,便于精准操作,同时能避开肋间神经,实现极致微创与减轻疼痛的双重目标。

麻醉成功后,武玉睿在小陶剑突下做了一个仅1.5cm长的小切口,在胸骨与心脏之间潜行分离、制造操作空间,随后置入单切口操作设备,娴熟开展手术。他先分离肿瘤、保护左侧胸膜,再打开右侧胸腔;面对过中线、与前胸壁广泛粘连,且紧邻心包和上腔静脉的巨大肿瘤,武玉睿轻柔精准分离,先切取部分肿瘤改善视野,在明确膈神经走形、保护好上腔静脉后,一气呵成完成肿瘤切除。

整个手术仅用时30分钟,全程无出血、无组织器官损伤。“太快了!”来自连云港的进修医生小李惊叹道;中途进入手术间的西安进修医生小于也感慨:“我一开始都没看明白这是什么入路,武主任太神奇了。”

from clipboard

剑突下1.5cm小切口

考虑到患儿年龄小、肺部感染复杂且炎症较重,术后小陶被转入重症医学科监护2天,确保安全。术后第2天,她顺利转回普通病房;术后第3天,复查胸片无异常,胸腔闭式引流管成功拔除,小家伙的精神日渐好转,稚嫩的脸上重新绽放出笑容。

术后病理结果显示,纵隔占位为脂肪母细胞瘤,虽体积巨大,但属于纯良性病变,无需后续特殊治疗,与术前判断完全吻合。换药时,看着孩子不到2cm的小切口,妈妈难掩喜悦:“还得是武主任呐!”简单一句话,饱含着对武玉睿主任团队的信任、满意与感激。

术后第4天,小陶已达到出院标准,但家长执意多留几日——他们正在定制锦旗,想当面送给武玉睿主任。出院当天,家长紧握武玉睿的手,送上亲手书写的锦旗,热泪盈眶地反复道谢。这泪水里,有劫后余生的庆幸,有对权威专家的感恩,更有对胸部及肿瘤外科全体医护人员的深深敬意。

据悉,早在2017年,武玉睿借鉴成人胸外科经验,在国内率先开展儿童剑突下入路胸腔镜手术。经过多年临床实践与改良,针对合适病例,他将传统3孔法缩减为单孔法,最大限度减少患儿创伤与痛苦,同时提升术后美观度。

from clipboard


家长为武玉睿主任(左)及曹振华医生(右)送上锦旗

在儿科门诊,不少家长对CT检查心存顾虑,担心辐射影响孩子健康。这种心情可以理解,但科学认识CT的价值与安全性更为重要。若将人体胸腔比作西瓜,普通胸片就像给西瓜拍平面照片,仅能看到大致轮廓,难以分辨内部细微结构;而CT则相当于将西瓜切成薄片观察,可清晰显示每一层的内部细节。

对于肿瘤、复杂感染或畸形等疾病,CT是明确诊断、评估病情、制定治疗方案的关键依据。随着医疗技术进步,目前儿童医院多采用“低剂量CT”扫描模式,一次儿童胸部CT平扫的有效剂量,仅相当于数月的自然环境本底辐射,远低于国家规定的安全限值。

检查时,医护人员还会对儿童敏感部位进行防护,进一步降低辐射伤害。在必要情况下,CT检查的辐射风险,远低于延误诊断可能带来的健康损害,家长无需“谈CT色变”。本例患儿正是因为及时接受CT检查,才发现了隐藏在感染背后的胸腔巨大肿物,为后续精准治疗赢得了宝贵时机。

更多相关推荐
2020-05-26
s:7401:"2020年5月18日,泌尿联合支部在科研楼600会议室举办了“春天的故事”抗击新冠疫情主题党日活动。党委书记刘中勋,党办主任冯玉香,护理部主任杨...
2020-05-23
米荣委员全国政协委员、首都儿科研究所新生儿内科副主任米荣精心准备向全国政协十三届三次会议提交的提案,其中之一就是《关于成立国家儿童早期发展研究中心的建议》。“生...
2020-05-12
s:2501:"2020年5月12日,是第109个“国际护士节”。12日上午,北京市副市长卢彦同志来到首都儿科研究所调研慰问,市卫生健康委副主任张华,市医管中心...