请输入关键字
一封感谢信背后的极致技术与医者仁心
时间:2026-03-10 文:周燕、武玉睿、郑启鹏 摄:郑启鹏、闫岩

近日,首都医科大学附属首都儿童医学中心收到了一封来自河北沧州患儿家属的感谢信。信中,患儿父亲用真挚质朴的语言,讲述了一家人从绝望无助到重获希望的求医历程,表达了对胸部及肿瘤外科主任武玉睿团队的感激之情。

“武主任拖着疲惫的身体走出手术室,告诉我们手术非常成功;郑医生陪着孩子出手术室,细心安排术后检查,告知术后注意事项……”信中,家长一字一句记录下医护人员的点滴付出,朴实的话语藏着谢意,也定格了这段温暖又惊心动魄的诊疗瞬间。

from clipboard

from clipboard

from clipboard

2026年1月底,13岁的小严因肺炎在当地医院住院治疗,CT检查中意外发现胸腹部存在两处阴影。经进一步排查,疑似为神经母细胞瘤,这种疾病素有“儿童癌王”之称,恶性程度高、治疗难度大。这一诊断结果如同晴天霹雳,瞬间让小严全家陷入巨大的恐慌与无助之中。

在当地医院的推荐下,家长辗转联系上武玉睿,并于2月6日从沧州赶到北京,开启了这场关键的求医之路。从接诊到制定手术方案、实施手术,短短一周时间内,武玉睿主任团队以高度的责任心、严谨的专业态度和精湛的诊疗水平,为小严进行了全面细致的术前评估。

from clipboard

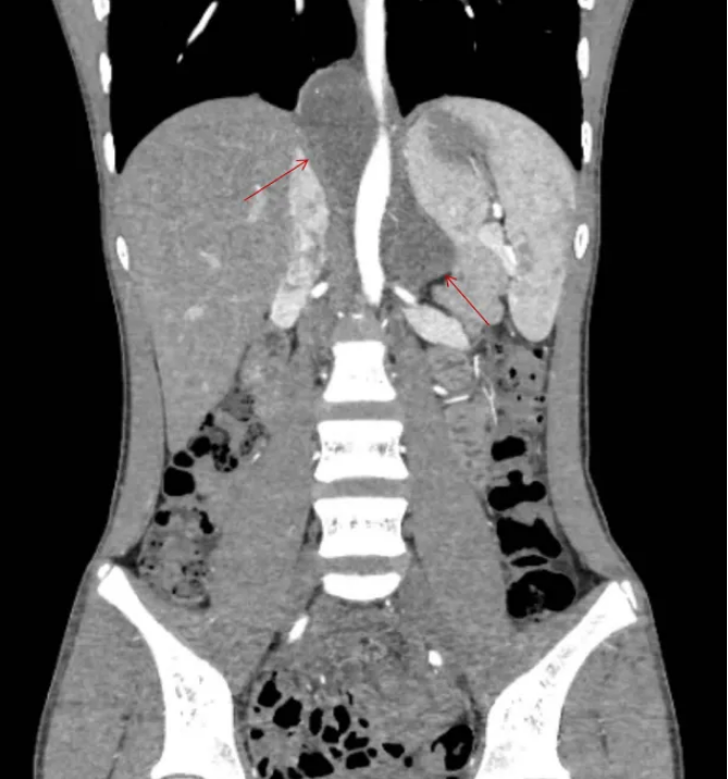
术前增强CT提示腹膜后及后纵隔两处病变(箭头处)

检查发现,小严左侧肾上腺区和右后下纵隔胸腹交界处各有一处约5.5cm大小的病变,考虑为左侧肾上腺神经母细胞瘤并局部转移。传统手术需要分别经胸、经腹做两个大切口,创伤大、恢复慢。即使在腔镜技术比较成熟的现在,一般也需要分别经胸腔镜和腹腔镜各做3个或3个以上的小切口才能完成手术。经过仔细阅片,武玉睿决定尝试经腹小切口单孔腹腔镜手术切除所有病变,这一术式此前尚无同行尝试。2月12日,主管医生郑启鹏详细向家长做了病情解释和术前谈话,取得了家长的充分信任。

from clipboard

2月13日,武玉睿主任团队成功通过腹部一个2cm的小切口顺利完成了手术。为了极致地减小创伤,武玉睿没有切断肌肉纤维,而是采用肌肉交叉分离的方式打开腹腔,最大限度地保留肌肉的完整性。他通过这个微小切口置入单孔操作设备,娴熟开展手术操作。

这类单孔腔镜手术难度极大,由于操作器械之间、器械与镜头之间距离过近,易形成“筷子效应”,出现器械相互干扰、操作受限的问题,不仅极度考验术者的操作能力,更考验扶镜手与术者的配合度。术中,李泽西主治医师负责扶镜,全程默契配合,为武玉睿专注操作提供了保障。

from clipboard

打开左侧结肠旁沟,将脾与胰腺推向内侧,充分暴露左侧肾上腺及肿瘤组织,精准离断中央静脉,完整切除肿瘤。而位于主动脉右侧后下纵隔的转移病灶,才是整场手术最大的难点,此处病灶位置深、暴露难度极大,且与主动脉粘连紧密,分离过程中一旦损伤主动脉,极易引发致命性大出血,后果不堪设想。

武玉睿先精准暴露主动脉、肠系膜上动脉及腹腔干动脉根部,再小心翼翼打开主动脉裂孔与食道裂孔,逐步暴露转移灶下半部分。术中巧妙运用缝线悬吊技术牵拉肿瘤,既保障了手术视野清晰,又严格遵循无瘤操作原则,全程避免肿瘤组织污染。他逐层细致分离粘连组织,最终将转移病灶完整、干净地切除,在场医护人员都悬着的心终于落定。

from clipboard

病灶切除后,武玉睿又对术中打开的主动脉裂孔、食道裂孔进行对位缝合与重建,细致缝合离断的膈肌脚等组织,完美修复手术创面。最后通过腹部微小切口置入取物袋,将两处病灶分块完整取出。由于全程操作极致精细、精准,整场手术出血量极少,术后无需输血,原本计划术后转入重症监护室监护的方案也随之取消,直接返回普通病房监护,这一结果让等候在外的家长喜出望外。

术后,小严恢复进程极为顺利,得益于腹壁肌肉未被离断,术后疼痛感极轻,腹腔渗液量少,也未出现乳糜瘘等任何术后并发症,术后3天就康复出院,一家人顺利赶回家中团圆过年。

春节过后,小严的病理报告出来了,结果令人倍感欣慰:肿物为混合型节细胞神经母细胞瘤,恶性成分极低,经血液内科专家会诊,确定小严后续仅需定期随访观察即可,无需接受化疗。得知这一好消息,小严全家感激不已,专程返回科室赠送锦旗致谢,但这份感激依旧难以言表。小严父亲心潮澎湃,又写下这封长信,感谢医院领导培养出如此医术精湛、医德高尚的医疗团队,这才有了文章开头那封满含深情的感谢信。

from clipboard

一直以来,武玉睿主任团队始终秉持精益求精、追求极致的行医理念,深耕儿童胸部及肿瘤外科领域,专注用最微创的技术安全攻克各类高难度复杂手术,最大限度减轻患儿痛苦、缩短康复周期。团队始终以“打造儿童肿瘤治疗最后一站”为目标,为众多原本失去治疗机会的疑难重症患儿重新点亮希望,助力患儿顺利康复、回归正常生活。

这封感谢信,既是对武玉睿、郑启鹏等胸部及肿瘤外科医护人员的最高肯定,更是“慈爱、严谨、求实、创新”所训精神的生动写照。正是有这样一支技术精湛、医德高尚的团队,才让无数家庭在绝望中看到了希望,在困境中迎来了新生。

更多相关推荐
2020-05-26
s:7401:"2020年5月18日,泌尿联合支部在科研楼600会议室举办了“春天的故事”抗击新冠疫情主题党日活动。党委书记刘中勋,党办主任冯玉香,护理部主任杨...
2020-05-23
米荣委员全国政协委员、首都儿科研究所新生儿内科副主任米荣精心准备向全国政协十三届三次会议提交的提案,其中之一就是《关于成立国家儿童早期发展研究中心的建议》。“生...
2020-05-12
s:2501:"2020年5月12日,是第109个“国际护士节”。12日上午,北京市副市长卢彦同志来到首都儿科研究所调研慰问,市卫生健康委副主任张华,市医管中心...